slider html
عيادة الدكتور طارق ضباعين
عمان-الدوار الثامن -مقابل وزارة الاتصالات-عمارة رقم ٦
×
×
خدماتنا
×
جراحة الفم والاسنان
×
تركيبات ثابتة ومتحركة
×
علاج جذور اسنان
×
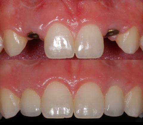
زراعة الاسنان
×
تبيض الاسنان بالليزر
×
تجميل الاسنان
×
اطفال
×
تقويم
×
اطقم الاسنان المتحركة